找出妳的最佳時程/MIRA新一代子宮內膜容受性檢測 | 生殖醫學與婦產科專家|李宗賢醫師Dr.Lee|試管嬰兒
本網站使用cookies為您提供更好的用戶體驗。繼續使用本網站表示您同意我們的隱私權政策
fix-btn-icon 線上掛號
李宗賢醫師個人網站
  • 生殖中心介紹
    • 設備介紹
    • 就醫環境
  • 醫療團隊
  • 好孕案例&衛教
  • 最新消息
  • 門診資訊
  • 諮詢專區
MENU
繁中 EN
CLOSE
繁中 EN
  • 生殖中心介紹
    • 設備介紹
    • 就醫環境
  • 醫療團隊
  • 好孕案例&衛教
  • 最新消息
  • 門診資訊
  • 諮詢專區

成功案例

  • 首頁
  • 好孕案例&衛教
  • 成功案例
好孕案例&衛教
  • 成功案例
  • 好孕流程
  • 檢查項目介紹
  • 健康衛教專區
好孕借過!妳的子宮裡有「違章建築」 2026-01-23
協助釐清看似正常卻遲遲無法懷孕的可能原因。透過醫師角度的臨床經驗分享,幫助不孕症患者更有方向地安排後續檢查與治療策略。
反覆流產兩次後,PGT-A與免疫找回安心懷孕路 2025-12-28
反覆流產不一定與年齡或卵巢功能有關。透過胚胎染色體檢查、PGT-A 與免疫凝血功能評估,能有效找出流產原因並降低再次流產風險。
人工受孕|新一代精蟲分離技術 2025-11-09
新一代精蟲分離技術成功協助精蟲數偏低的個案以人工受孕懷孕。
該技術可提升精蟲品質與胚胎著床率,為部分男性不孕者提供試管以外的新選擇。
精蟲 DNA 碎片與免疫異常:看似「正常」背後的懷孕難題 2025-10-19
「免疫」原本是守護身體的防線, 卻也可能在懷孕的路上成為無形的阻礙。 當免疫系統過度活躍,胚胎會被誤認為「敵人」, 而免疫球蛋白治療(IVIG)能幫助重新建立平衡、順利著床。
跨越不孕障礙:從根源治療開始 2024-11-29
診斷結果顯示左側輸卵管阻塞,並伴隨骨盆腔內膜異位症,在決定接受腹腔鏡手術後,也在心底燃起一絲希望
植入時間異常,非侵入性窗期檢測 2024-11-11
因受孕窗期偏移,而導致無法成功懷孕。近一步使用非侵入性窗期檢測,省去一個週期的時間,讓療程更便利。
勇敢追夢-凱西媽咪的親身經歷 2024-11-01
療程中最艱難的部分,莫過於等待結果的那段時間。
輸卵管阻塞也能懷孕?如何靠IVF圓夢? 2024-10-04
面對輸卵管阻塞,透過IVF成功懷孕,生殖醫學讓Y小姐實現了生育夢想。
多囊成功後竟子宮外孕 2024-09-13
K小姐在懷孕初期的例行檢查中,突然感到腹部劇痛,並且伴隨著大量腹水的情況。被急送到急診後,醫生檢查後告知,除了子宮內的胚胎,她還有一個異位妊娠在右側輸卵管。
多囊懷孕!IVF三次試管成功 2024-09-13
多囊性卵巢合併胚胎異常。婚後多年,始終未孕。經詳細檢查,C小姐被診斷出多囊卵巢症候群和雙側輸卵管積水,丈夫則有輕微精子活動力不足問題。
子宮內膜與IVF:客製化的成功療程 2024-08-30
發現子宮內膜息肉以及維生素D缺乏, 這些是影響懷孕的關鍵因素。制定客製化治療計劃,息肉切除手術和維生素D補充來進行卵子培養。
多囊與胚胎發育不良?第三天胚胎是關鍵 2024-08-15
多囊卵巢與胚胎發育不良怎麼辦?保存第三天胚胎是提升試管成功率的重要策略,對症下藥嘗試每一次可能的機會。
重度子宮內膜異位症與鑲嵌型胚胎 2024-06-14
這篇文章重點有三個:重度子宮內膜異位症 建議進行試管、高齡婦女建議進行PGT-A(PGS)、鑲嵌型胚胎也可以植入成功
左側輸卵管子宮外孕也能自然懷孕 2024-02-18
只剩單側輸卵管,還有子宮內膜異位症,經歷許多困難症狀後,一一治療也能自然懷孕
現代男性必備:生育能力保存策略揭秘 2024-02-18
無精症患者的試管嬰兒療程,利用之前保存的精蟲以及完善的冷凍技術
多囊性卵巢懷孕一次成功! 2024-02-18
十顆囊胚、一次植入、一次成功。如果沒有男性因素或輸卵管因素的干擾,治療原則會從最簡單的排卵藥物開始
自然週期與賀爾蒙補充,大齡自然週期懷二寶 2024-02-18
37歲懷大寶、40歲懷二寶。給在自然週期植入與賀爾蒙補充週期植入猶豫不決的你
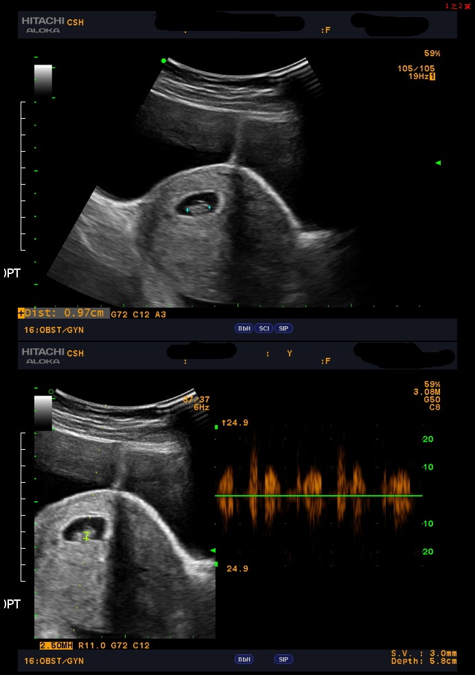
MIRA找出妳的植入時程 2023-12-28
婚後懷孕未果 著床時間異於常人
夫妻婚後未孕且AMH值低,利用MIRA檢測子宮內膜狀態,發現著床時間異於常人,調整後成功生下女寶寶。祝福新手爸媽
footer-logo
暖心陪孕
賢哥の好孕指南
中山醫大生殖醫學中心-
李宗賢 主任

中山醫大生殖醫學中心

  • 聯絡電話 04-2473-9595(#20723諮詢室 / #20722胚胎室)
  • 服務時間 周一至周五 8:00-12:00;13:30-17:30
  • 院所地址 40201台中市南區建國北路一段110號 汝川大樓7樓
  • 中部交通便捷地點 近烏日高鐵、大慶台鐵、大慶捷運站
門診及線上掛號 賢哥諮詢專區
建議使用Chrome、Firefox、Safari最新版本瀏覽
採用全球最先進SSL 256bit 傳輸加密機制
Designed by 米洛網頁設計
TOP